Smile Gallery

The image shows a close-up of an individual s mouth with teeth and gums.

Before

The image shows a person s mouth with a set of teeth, including the upper and lower dental arches.

After

Smiling mouth with teeth showing, displaying a dental treatment or cosmetic enhancement.

Before

A person wearing a clear oral appliance with multiple teeth visible, showcasing the device used for dental treatment or correction.

After

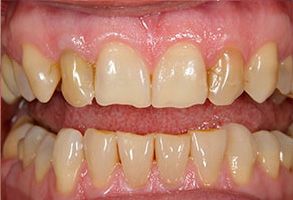
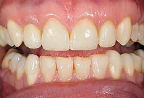
This image shows a person s mouth with yellowed teeth and a partial denture, displaying the upper front teeth.

Before

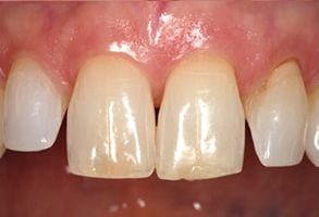
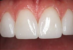
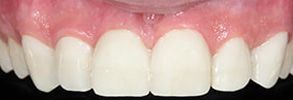
A close-up image of a person s teeth and mouth, showcasing a smile with white fillings.

After

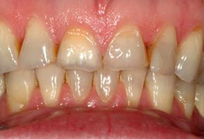
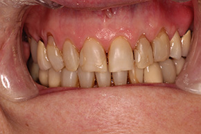
The image shows a close-up of a person s teeth with a focus on the yellowing and wear indicative of poor oral hygiene.

Before

The image shows a close-up of a person s teeth with yellowing and some staining, indicating the need for dental care or possibly the effects of certain medications.

After

The image shows a close-up of a person s face with a focus on the teeth, which are crooked and have a gap between them.

Before

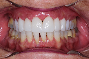
The image shows a close-up of a person s mouth with teeth, smiling slightly.

After

An image of a mouth with a pinkish-red gumline and white teeth, showcasing dental implants.

Before

The image shows a close-up of a person s teeth, with the upper front teeth prominently displayed against a dark background.

After

The image shows a close-up of a person s teeth, focusing on the lower front teeth and gums.

Before

The image is a close-up photograph of a person s teeth, showcasing a bright and healthy smile with white fillings.

After

The image displays a close-up of a person s teeth with visible yellowing and staining, indicating poor oral hygiene or dental issues.

Before

Dental implant with a natural tooth appearance, showcasing a white and clean finish.

After

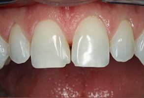
The image shows a close-up of a person's teeth, with a focus on the front teeth and gum line.

Before

The image displays a close-up of a person's mouth with a set of straight, white teeth.

After

A close-up photo of a person's mouth showing yellowed teeth with visible stains and gaps, set against a blurred background.

Before

The image shows a close-up of a person's teeth, revealing a yellowish discoloration on the front teeth.

After

Get in Touch

Hours of Operation

Monday
8:00 am - 5:00 pm
Tuesday
8:00 am - 5:00 pm
Wednesday
7:00 am - 2:00 pm
Thursday
8:00 am - 5:00 pm
Friday
Closed
Saturday
Closed
Sunday
Closed